土木在线论坛 \ 电气工程 \ 电气工程原创版块 \ 一文读懂气管支气管分支异常分类!

一文读懂气管支气管分支异常分类!

发布于:2023-03-17 13:34:17 来自:电气工程/电气工程原创版块 [复制转发]

知识点:气分支器

1955年在CT出现之前出版的Boyden命名法是基于尸体标本而言,通常用于描述正常的段支气管解剖结构和各种异常情况。然而自那时以来,还认识到其他一些异常,并且用于描述这些异常的名称也有些混淆。

影响气管、主支气管和中间支气管的多种先天性分支异常已经被报道,所有这些都可以在胸部CT上识别出来,但经常被忽略。这些发生在胎儿生命的早期的异常,可能是多余的,其为在妊娠29-30天时发生的缺陷,也可能是移位的,其为发生在后期的缺陷。
气管支气管位置异常通常与其他先天性异常有关,但可以单独发生。通常无症状,但可能引起呼吸困难、反复发作的肺炎和咯血等肺部症状。
为避免并发症,尤其是在进行电视辅助胸腔镜手术时,应先确认这些异常,然后再行肺切除术。此外,支气管镜医师应在执行诊断或治疗性支气管镜检查程序之前了解这些异常情况。

认识到一些关键的支气管解剖原则,以及使用基于肺叶的分类方案,将有助于识别气管支气管的位置异常。 



正常气管支气管解剖


图片
支气管分段解剖图(Boyden命名法)。
右侧,B1 =尖段支气管,B2 =前段支气管,B3 =后段支气管,B4 =外侧段支气管,B5 =内侧段支气管,B6 =上段支气管,B7 =内基底段支气管,B8 =前基底段支气管,B9 =外侧基底段支气管,B10 =后基底段支气管。
左侧,B1和B3共干形成尖后段支气管(B1 + 3),B4 =上舌段支气管,B5 =下舌段支气管,B7、B8 =内前基底段支气管,B9 =外侧基底段支气管,B10 =后基底段支气管。 

缩略语:

  • upper lobe bronchus (ULB) 上叶支气管
  • middle lobe bronchus (MLB) 中叶支气管
  • left main bronchus (LMB) 左主支气管
  • right main bronchus (RMB)  右主支气管

要了解气管支气管位置异常,必须注意三点:

  • 通常,气管隆突位于胸椎T4和T5水平。
  • 两肺之间,支气管与肺动脉的关系不同。
  • 肺内支气管血管的分布是不对称的。

右肺上叶支气管(ULB)位于右肺动脉的后下方,而左主支气管(LMB)在发出左ULB之前先经过左肺动脉的下方。因此,右ULB被认为是动脉上的,因为它出现在右肺动脉与右主支气管(RMB)交叉点的上方,而左ULB被认为是动脉下的,因为它起源于左肺动脉与LMB交叉点的下方。在右侧,右ULB(动脉上支气管)通常被用作参考点,以描述异常定位的支气管指向上叶区域的位置,而在左侧,参考点是左肺动脉和LMB的交叉点。  

RMB比LMB短。右ULB在中叶支气管(MLB)上方几厘米处单独发出,右肺下叶上段支气管(B6)恰好位于中叶支气管(MLB)孔的下方并与之相对。在左肺,上部和下部(舌状支气管)同时从左ULB一起发出,而B6在下方一定距离处发出。实际上,左肺下叶支气管主干比右肺下叶支气管主干更长,并且延伸了10-12mm的距离。 

据报道,先天性支气管分支异常在普通人群的发生率为0.1%–2%。


先天性气管支气管分支异常


在本文中,我们重点介绍气管、主支气管和中间支气管的异常分支。这些气管支气管分支异常可分为五类:(a-d)分类涉及(a)全肺,(b)上叶,(c)中叶,或(d)下叶;(e)其他气管支气管分支异常。

这些异常大多数是移位的或多余的支气管。当出现没有使相应肺实质通气的正常支气管时,术语“移位支气管”(displaced bronchus)用于描述起源异常的支气管。相比之下,除了正常的支气管外,还出现了多余的异常支气管。多余的支气管可终止于相应正常支气管的实质内或者可能与通气的肺实质相关,其因此被认为是额外的肺组织。

1.全肺的气管支气管分支异常

  • 在CT上,上叶支气管(ULB)与同侧肺动脉的关系是支气管部位最可靠的标志。 


图片
ULB与肺动脉的关系,作为支气管部位的标志。(a)内脏正位(situs solitus)时,右ULB位于动脉上位(箭),左ULB处于动脉下位(箭头)。内脏反位(situs inversus)时,相反的位置是正确的。(b)当两个ULB处于相同位置时,支气管可表现为双侧右异构(动脉上位支气管)或双侧左异构(动脉下位支气管)。 

图片
4个月大女婴,具有心室双出口,支气管右异构。(a)在气管支气管树增强3D重建CT图像上,左支气管树的形态学特征与右支气管树相同,ULB过早发出,与MLB有一定距离。(LLB =下叶支气管,RLLB =右下叶支气管,RULB =右ULB)。(b)在气管支气管树和肺动脉的3D重建CT图像上,两个ULB都是动脉上的,因为它们起源于同侧肺动脉的后方。这些与右支气管异构表现一致。该患者还伴有其它心脏和血管的发育畸形。

图片
61岁男性患者,无症状;左支气管异构。LULB =左ULB。(a)气管支气管树增强3D重建CT图像显示,与左ULB相似,右侧B4和B5支气管起自右ULB。(b)气管支气管树和肺动脉叠加3D重建CT图像显示,双侧ULB都是动脉下的,因为它们出现在同侧肺动脉和主支气管的交叉点下方。这些与左支气管异构表现一致。该患者还患有其它内脏发育畸形。

2.上叶气管支气管分支异常

气管支气管:Sandifort在1785年首次将气管支气管描述为源自气管的右ULB。 

我们建议将气管支气管的定义限制为任何异常直接起自气管或隆突的支气管。起源于主支气管和中间支气管的ULB应该被分别标记以避免混淆(下图)。  

图片
上叶的气管支气管分支异常。A =右气管支气管,B =右动脉前上支气管,C =右动脉后上支气管,D =左气管支气管,E =左动脉上支气管,F =左动脉下支气管。

右动脉前上支气管:是指高于右ULB(动脉上支气管)水平,由右主支气管(RMB)发出的指向右上叶的任何支气管。

右动脉后上支气管:指低于右ULB(动脉上支气管)水平,任何来自右支气管树的指向右上叶的支气管。

图片
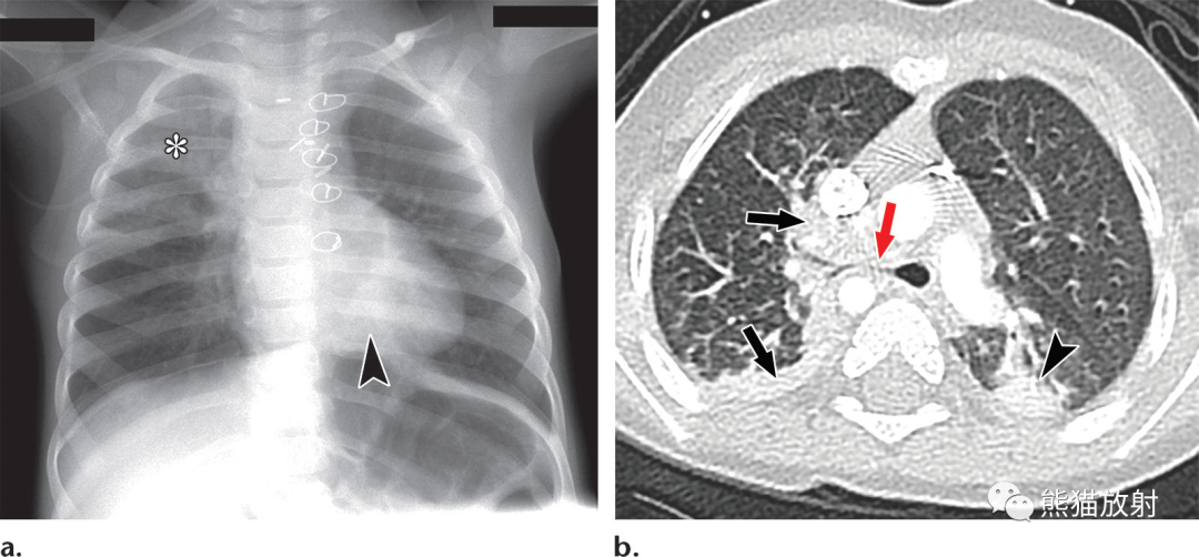
1 6个月大的男孩,法洛四联症,复发性肺炎。右气管支气管移位。(a)仰卧位胸片显示右上叶(*)实变,左下肺心后区域(箭头)部分实变。(b)3天后增强胸部CT显示右肺上叶(黑箭)和左肺下叶(箭头)部分实变。红色箭头=移位的右气管支气管通向实变的肺实质。

相关推荐:

1、GB5226.1-2008 机械电气安全

2、GB19517-2009国家电气设备安全技术规范


全部回复(3 )

只看楼主 我来说两句
  • 方安电子
    方安电子 沙发

    气管犹如电路 管路一样,密密麻麻。

    2023-05-16 15:43:16

    回复 举报
    赞同0
  • 方安电子
    方安电子 板凳

    气管犹如电路 管路一样,密密麻麻。

    2023-05-16 15:43:16

    回复 举报
    赞同0
加载更多
这个家伙什么也没有留下。。。

电气工程原创版块

返回版块

2.2 万条内容 · 598 人订阅

猜你喜欢

阅读下一篇

空气能采暖中,如何挑选和安装分集水器?

知识点:分集气器 在空气能采暖中,分集水器是其中不可或缺的部分。分集水器质量的好坏影响着空气能采暖的使用效果。很多空气能采暖的客户被低质量分集水器所影响,不知道怎么挑选质量好的分集水器。今天,为大家讲解一下,如何挑选质量好的分集水器,以及安装分集水器的方法。 首先,要了解分集水器在空气能采暖中的作用。分集水器的作用是连接采暖主干供水管和回水管的装置。分为分水器和集水器两部分。集水器在水系统中

回帖成功

经验值 +10